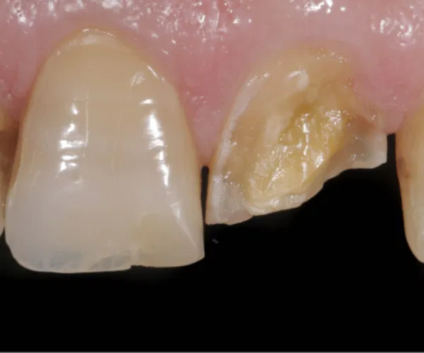
As restaurações estéticas podem transformar tanto os dentes anteriores, responsáveis pela estética e pelo impacto visual, quanto os posteriores, fundamentais para a mastigação e a saúde bucal. Na nossa clínica, utilizamos técnicas e resinas compostas de ponta para garantir que cada dente recupere sua forma, cor e função, proporcionando um sorriso harmonioso e natural.

Consulta Inicial

Realizamos um exame abrangente, verificando a saúde dos dentes, gengivas e a relação oclusal, para identificar as necessidades estéticas e funcionais.

Análise Digital e Simulações

Fotografias em alta resolução, radiografias e, se necessário, simulações digitais ajudam a definir o melhor plano de ação para cada região – sejam dentes de destaque na frente ou os de suporte na mastigação.

Técnica Detalhista

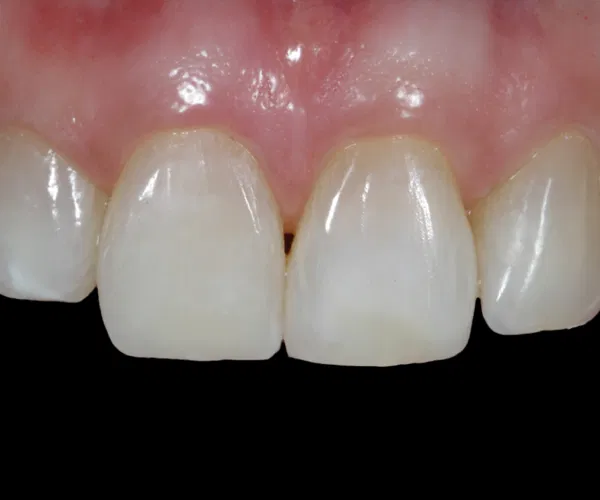
Aplicamos técnicas de estratificação que permitem a recriação da forma e da textura natural dos dentes, garantindo um acabamento que se integra perfeitamente ao sorriso.

Atenção à Estética

O foco é na reprodução fiel das nuances de cor, opacidade e brilho, assegurando que a restauração se destaque com naturalidade, valorizando cada detalhe do sorriso.

Funcionalidade e Durabilidade​

Nos dentes posteriores, a prioridade é remover a cárie e restaurar a função mastigatória com materiais que suportem esforços contínuos, mantendo um aspecto estético condizente com a anatomia do dente em questão.

Técnicas de Condução Oclusal​

Durante o procedimento, ajustamos a oclusão para que a restauração proporcione conforto, sem interferir na função.

Estética Natural e Integrada

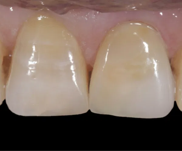
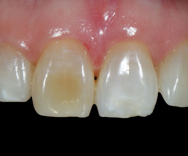
Seja na região frontal ou posterior, as restaurações apresentam cores, formas e texturas que se unem ao arco dental de maneira natural e harmônica.

Recuperação da Função

Além da melhora visual, o tratamento restaura a função mastigatória, proporcionando um equilíbrio entre estética e performance, essencial para a saúde bucal.

Longevidade e Conforto

Os materiais modernos e as técnicas minimamente invasivas asseguram resultados duradouros, que mantêm a beleza e a funcionalidade do sorriso por muitos anos.

Agende sua consulta

Aqui no Instituto Kimura, aliamos tecnologia e os melhores materiais para cuidar da sua saúde e do seu sorriso.