O clareamento dentário é a solução ideal para quem deseja reverter manchas, pigmentações e dentes amarelados, recuperando a luminosidade e a estética do sorriso. Em nossa clínica, utilizamos técnicas modernas e seguras, que respeitam a integridade do tecido dental e proporcionam ótimos resultados.
Consulta Inicial e Avaliação
Antes de iniciar o clareamento, realizamos uma avaliação clínica detalhada para identificar a etiologia do escurecimento dental e verificar a saúde bucal do paciente.
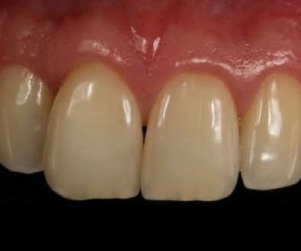
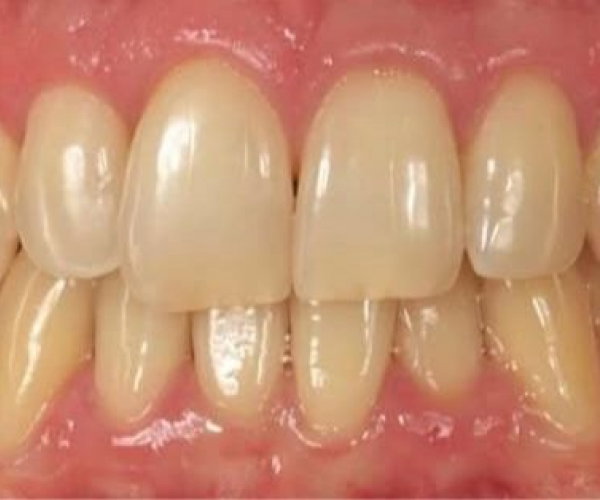
Fotografias
Fotografias são realizadas junto a escala de cor para documentar a situação inicial e servir de comparativo no final do tratamento.
Definição do Protocolo
Com base na análise, elaboramos um plano de tratamento personalizado, escolhendo entre as técnicas disponíveis – seja o clareamento caseiro supervisionado ou o clareamento em consultório – e ajustando a intensidade dos agentes clareadores para garantir resultados eficazes sem agredir os dentes.
Clareamento caseiro
Consiste na aplicação de um gel clareador com menor concentração de peróxido, em moldeiras de silicone personalizadas, que o paciente utiliza diariamente por um determinado período. É uma técnica que traz excelentes resultados e grande conforto, principalmente para pacientes que possuem dentes mais sensíveis.
Clareamento de Consultório
Realizado diretamente no consultório odontológico, este método utiliza agentes clareadores com maior concentração de peróxido. Nessa técnica o resultado surte efeito mais rapidamente. Geralmente são feitas 4 sessões.
Técnica combinada
Uma abordagem que une os métodos de consultório e caseiro. Inicia-se com uma sessão no consultório para um clareamento mais rápido, seguido do uso de moldeiras personalizadas com gel clareador para manutenção e aprimoramento dos resultados.
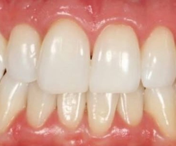
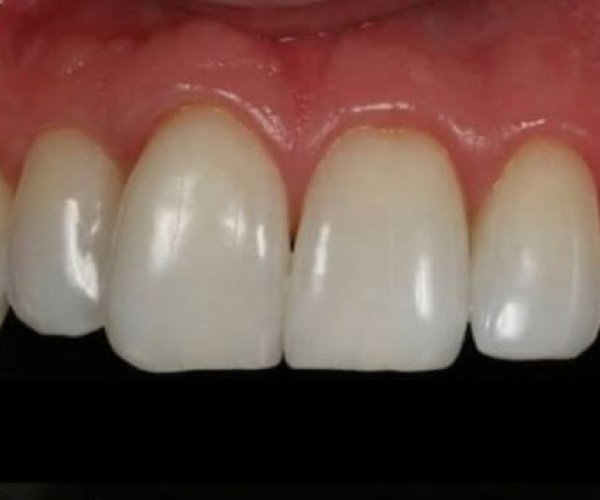
Transformação Visível
Em poucas sessões, os dentes ganham clareza, revelando um sorriso natural, mais branco e harmônico.
Aumento da Autoconfiança
Um sorriso mais brilhante pode melhorar a autoestima e a percepção pessoal, abrindo portas para interações sociais e profissionais mais positivas.
Manutenção dos Resultados
Com hábitos adequados e revisões periódicas, o efeito do clareamento pode ser prolongado, permitindo desfrutar de um sorriso radiante por muito tempo.
Agende sua consulta
Aqui no Instituto Kimura, aliamos tecnologia e os melhores materiais para cuidar da sua saúde e do seu sorriso.
