A Ortodontia tem como objetivo corrigir a posição dos ossos maxilares e dos dentes que estão mal posicionados, condição conhecida como má oclusão.
A má oclusão pode afetar os dentes em diferentes direções (vertical, horizontal e transversal). Por isso, o tratamento deve ser feito de forma específica (a arcada é tratada por setores), levando em conta cada caso individualmente. A Ortodontia Bioprogressiva adota esse conceito, tratando os dentes e os segmentos de forma personalizada.
A análise e classificação do tipo facial e da musculatura do paciente é essencial para o planejamento e execução do tratamento. Pacientes com musculatura mais forte são tratados de forma diferente daqueles com musculatura mais suave, garantindo um tratamento mais eficaz e confortável.
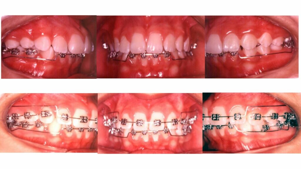
Os principais arcos usados na Ortodontia Bioprogressiva são feitos de um material especial chamado Elgiloy, que proporciona excelente ancoragem para o movimento dos dentes. Esse material permite que os dentes se movam sem sobrecarregá-los desnecessariamente, evitando efeitos indesejáveis.
O fio Elgiloy, com sua seção quadrada, facilita a movimentação dos dentes em diferentes tipos de ossos, tornando o tratamento mais eficiente e reduzindo o tempo necessário para alcançar os resultados. Ele também ajuda a corrigir as inclinações desfavoráveis dos dentes de forma mais rápida.
A Ortodontia Bioprogressiva corrige o que está errado sem prejudicar o que já está bom. O diagnóstico vai além do uso de aparelhos. A Bioprogressiva foca nas necessidades específicas de cada paciente, oferecendo um diagnóstico individualizado para um tratamento mais eficaz.
Antes de iniciar qualquer tratamento com a técnica Bioprogressiva, três perguntas são essenciais:
Onde estamos? (Diagnóstico)
Para onde vamos? (Planejamento)
Como chegar lá? (Aparelho adequado/mecânica)
Benefícios da Ortodontia Bioprogressiva:
Unificação dos conceitos de saúde, estética e função.
Tratamentos personalizados para cada paciente.
Menor necessidade de extrações dentárias.
Resultados mais estáveis e duradouros.
Melhor estética e harmonia facial.
Menos dor e desconforto durante o tratamento.
Agende sua consulta
Aqui no Instituto Kimura, aliamos tecnologia e os melhores materiais para cuidar da sua saúde e do seu sorriso.