A Odontologia Estética compreende restaurar a saúde, função e a harmonia do sorriso, unindo tecnologia e técnicas consolidadas. O Instituto Kimura, reúne além de profissionais capacitados, materiais de alto padrão em sua estrutura. Nossa especialidade compreende restaurar sorrisos com lentes de contato, restaurações estéticas em resina composta, implantes dentários e porcelanas, mimetizando os dentes naturais, desde casos simples a casos com alto nível de complexidade.
Profilaxia Recobrimento de Raiz Tratamento Endodôntico Extração do Siso Gengivoplastia
A perda de um ou mais dentes pode afetar não apenas a estética do sorriso, mas também a função mastigatória e a autoestima. Os implantes dentários oferecem uma solução segura, duradoura e confortável para repor dentes ausentes. Por meio de modernas técnicas e materiais de alta qualidade, é possível restabelecer saúde, função e estética. Cada caso é planejado de forma individualizada, garantindo resultados que devolvem a autoconfiança e melhoram significativamente a qualidade de vida do paciente.
Profilaxia Recobrimento de Raiz Tratamento Endodôntico Extração do Siso Gengivoplastia
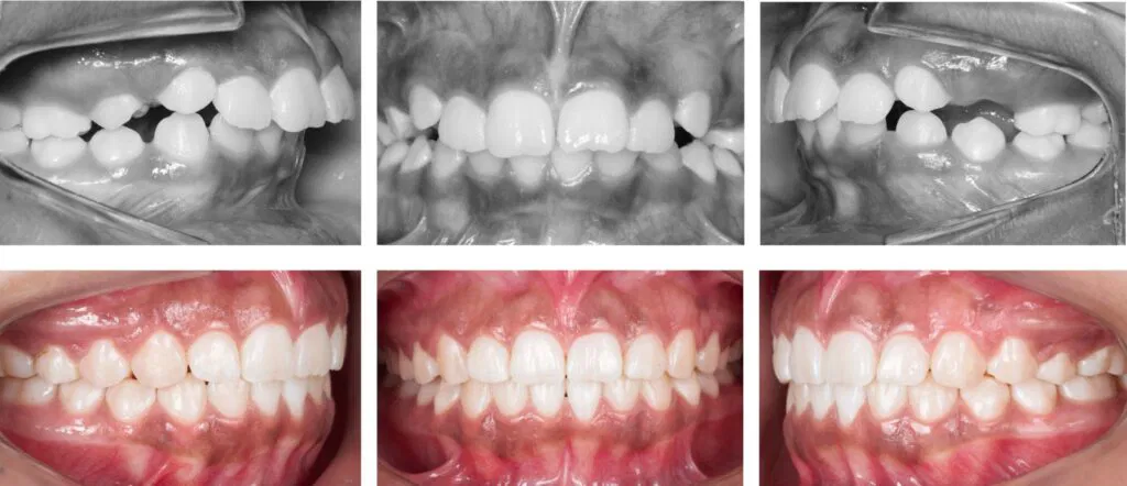
O tratamento ortodôntico no Instituto Kimura utiliza-se da melhor técnica de tratamento da atualidade. A técnica utilizada é a Terapia Bioprogressiva, que se caracteriza pelo diagnósticos e planejamento individualizado, onde o tratamento é organizado em uma sequência, passo a passo em direção ao normal individual. O aparelho utiliza-se da segmentação dos arcos e isto permite tratar somente o que está errado, sem perturbar o que já está bom.
Profilaxia Recobrimento de Raiz Tratamento Endodôntico Extração do Siso Gengivoplastia
O tratamento ortodôntico alinha dentes e corrige problemas de mordida, melhorando estética e função. Resulta em um sorriso harmônico e maior qualidade de vida.
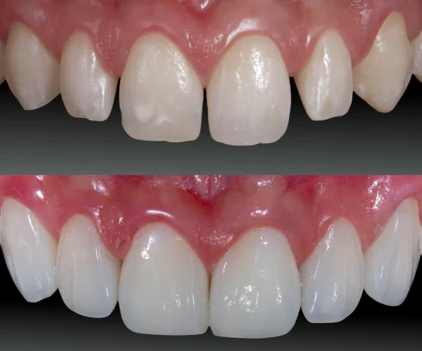
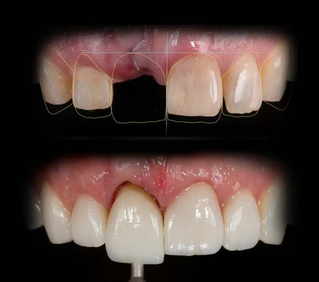
As lentes de contato são conservadoras e finas, corrigindo a forma e cor dos dentes, oferecendo um sorriso estético com máxima preservação e resultado duradouro.
As lentes de contato são conservadoras e finas, corrigindo a forma e cor dos dentes, oferecendo um sorriso estético com máxima preservação e resultado duradouro.
O clareamento dental, seja o caseiro ou de consultório, remove manchas e tonalidades indesejadas, promovendo um sorriso mais branco de forma segura, conservadora e eficaz.
As restaurações em resina composta reparam danos e substituem restaurações antigas, garantindo estética natural, resistência e perfeito acabamento ao sorriso.
Consiste em uma terapia que visa recuperar dentes inflamados ou necrosados, isso ocorre devido a cáries extensas, fraturas e traumatismos, principalmente. Através da limpeza dos canais, medicação e obturação, a dor e contaminação são cessadas.
É a principal indicação quando o dente já sofreu uma extensa destruição da coroa, este tratamento reconstitui o remanescente dentário em sua forma anatômica correta, sendo uma opção altamente estética, resistente e funcional.
Tratamento que remodela o contorno gengival, corrigindo excessos e criando equilíbrio estético. Melhora o formato do sorriso e valoriza a proporção dos dentes.
A profilaxia regular remove placa e tártaro, prevenindo cáries e doenças gengivais. Esse cuidado essencial mantém o sorriso saudável e evita problemas futuros.
O enxerto gengival recupera áreas de raiz exposta, com retração, protegendo a estrutura dental, além de prevenir a hipersensibilidade dentinária e consequentemente melhorar a estética do sorriso.
Os implantes dentários consiste em um tratamento fixo, diferente de prótese removíveis, devolvendo estabilidade e estética ao sorriso. Desde apenas 1 só dente, como da boca toda. Proporcionam segurança, mastigação e estética.
O Instituto Kimura, antiga Odontologia Kimura, nasceu há mais de 35 anos, fundada por Auro Kimura e Margareth Kimura. Seus dois filhos, André Kimura e Adriana Kimura seguiram os passos do pai e constituíram assim, uma família unida em prol da odontologia. A equipe cresceu, e agora conta com profissionais de ponta sendo uma equipe multidisciplinar que atua nas mais diversas áreas com as melhores técnicas e a melhor estrutura e tecnologia.
Aqui no Instituto Kimura, aliamos tecnologia e os melhores materiais para cuidar da sua saúde e do seu sorriso.

Avenida Madre Leônia Milito, 1500, sala 2108, Bairro Gleba Fazenda Palhano
2024 Instituto Kimura. Todos os direitos reservados.